Misdiagnosis of Multiple Sclerosis

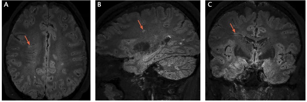
Many conditions mimic multiple sclerosis (MS) both clinically and radiologically. Despite validated diagnostic criteria,1 accurate diagnosis can be challenging. People without MS are misdiagnosed as having MS, often due to misattribution of MRI white matter lesions to MS. A novel imaging biomarker, the central vein sign (CVS), shows promise as a tool to distinguish demyelinating white matter abnormalities on MRI from lesions caused by other etiologies (eg, ischemia and migraine). Findings from pathologic specimens confirm that demyelinating lesions form around a postcapillary venule. Using susceptibility weighted MRI and standard fluid-attenuated inversion recovery (FLAIR) imaging, it is possible to determine if there is a CVS within an individual lesion (Figure). If validated, such a tool could significantly improve the accuracy of clinical diagnosis, allowing for more appropriate management of MS. Studies are underway to determine the best methods to capture and analyze this MRI finding.

<p>Figure. The central vein sign on fluid‑attenuating inversion recovery* (FLAIR*) MRI.</p>

Click to view larger

Figure. The central vein sign on fluid‑attenuating inversion recovery* (FLAIR*) MRI.

A study of 110 consecutively identified individuals who were incorrectly diagnosed with MS examined the role of erroneous MRI interpretation.2 Up to 33% of the misdiagnoses featured erroneous determination of lesion location to fulfill the McDonald diagnostic criteria of dissemination in space on MRI, and 12% involved an erroneous determination of MRI dissemination in time criteria. In a separate study of 241 new patients with a firm MS diagnosis referred to 2 independent academic MS clinics, 43 (18%) had been misdiagnosed.3 These individuals had a variety of alternate diagnoses but were diagnosed with MS for an average of 4 years, and a majority had received MS disease-modifying treatment (DMT). Of the misdiagnosed individuals, 35 (81%) had a radiographic red flag, indicating that an imaging test specific for MS may significantly curtail the rate of MS misdiagnosis.

If the national rate of misdiagnosis is even a fraction of the 18% identified in this study, a large number of the almost 1 million patients with MS in the US4 do not actually have MS. Many are receiving unnecessary DMTs for MS while not being treated for their true underlying condition. Some may even be participating in clinical trials, ultimately confounding trial results.

Both of the above studies highlight the contribution of misinterpreting MRI diagnostic criteria to misdiagnosis of MS. A more accurate method of diagnosis is needed, and the CVS has been proposed as such a tool.

A New Diagnostic Tool—The Central Vein Sign

The first report of a central vessel in MS lesions came from manuscripts prepared between 1829 and 1842 on the histology of MS plaques by anatomist Jean Cruveilhier.5 It was not until 150 years later, in 2008, that the first in vivo demonstration of these vessels was available with high-field MRI.6 The North American Imaging in Multiple Sclerosis (NAIMS) Cooperative provided a standardized definition for the CVS in their 2016 consensus statement (Table).7 The statement defined the CVS as a thin hypointense line or small dot positioned centrally in a lesion larger than 3 mm. The CVS is best visualized on susceptibility-weighted images coregistered to T2-images (eg, the FLAIR* technique) (Figure).

There are 2 main strategies that have emerged for statistical analysis of the CVS. The first is to calculate what percentage of total white matter lesions have a CVS. With this method, an accurate cut-off value is first determined; for example, if greater than 40% of lesions on a scan had a CVS, it would be considered a positive finding for MS. The second approach is to identify the total number of lesions on a brain MRI that have the CVS and define what number of lesions with a CVS is consistent with a diagnosis of MS. Studies evaluating both of these approaches are ongoing.

Validation

In a multicenter European study, 3-T brain MRIs were obtained from 606 participants with clinically isolated syndrome (CIS), relapsing-remitting MS (RRMS), or an MS mimic including neuromyelitis optica spectrum disorder (NMOSD), systemic lupus erythematosus (SLE), migraine, cluster headache, diabetes, or small-vessel disease. A positive CVS was found in 47% and 54% of lesions in people with RRMS or CIS, respectively, vs 16% of lesions in people with MS mimics. Using a cut-off of 35% of lesions having a CVS resulted in specificity of 83% and sensitivity of 68%. Using a cut-off of 3 or more lesions with a CVS resulted in similar specificity and sensitivity values.8

A prospective study assessed brain MRIs from 39 individuals with suspected MS and atypical clinical or radiographic features. The presence of a CVS was compared with whether or not an expert panel gave an MS diagnosis after case review.9 A cut-off value of 40% of total white matter lesions being periventricular with a CVS was associated with 96% positive predictive value and 100% negative predictive value when compared with expert clinician final diagnosis.

Another study used the CVS to distinguish between MS and its most common mimic, migraine.10 The total number of lesions in individuals with MS did not differ significantly from that of individuals with migraine; however, the mean percentage of lesions with a CVS was 80% in people with MS vs 34% in people with migraine (P<.001). Recent meta-analysis of 21 studies including 501 participants showed that 74% of lesions in people with MS had a CVS.11 Using a cut-off value of 45% of white matter lesions having a CVS, sensitivity and specificity were 97% and 98% respectively.

Applications, Limitations, and Future Directions

The CVS is poised to become part of standard MS MRI protocols with a utility evidenced by the high misdiagnosis rate of current criteria and the need for a more objective test. Another potential application is in longitudinal evaluation. People with MS and comorbidities that also cause white matter changes (eg, migraines or cerebrovascular disease) pose a specific challenge. Evaluating their MRIs may involve determining whether a new lesion is caused by MS—and thus may represent ongoing disease activity—or by an unrelated comorbidity. A positive CVS in a new lesion may increase clinical certainty that it reflects MS disease activity. Longitudinal studies are forthcoming.

For widespread clinical use, further validation of the CVS is needed, especially on the more readily available 3-T MRI scanners rather than the 7-T MRI scanners used in many research settings. Standardized protocols for obtaining, processing, and analyzing MRI sequences that show the CVS would also be necessary.

Evaluating brain MRI for the percentage of lesions with a CVS can be time consuming as can evaluating for the total number of lesions with a CVS. Analysis methods using deep learning12 could facilitate the use of the CVS as a diagnostic tool in busy radiology practices.

Combining the CVS with other radiographic signs may also increase sensitivity and specificity. Another sign under investigation is the paramagnetic rim, a hypointense line surrounding an MS lesion on susceptibility-weighted MRI.13 Paramagnetic rims are thought to represent ongoing inflammation and portend worse outcomes in MS, and also seem to be specific for MS lesions. Paramagnetic rims have been identified at the earliest stages of MS including radiologically isolated syndrome.14

Conclusion

Diagnosis of MS currently relies on frequently misapplied diagnostic criteria and subjective MRI interpretation. The CVS shows promise as a specific objective MRI marker of MS lesions, but further research is needed to validate and standardize use. Longitudinal studies and studies combining the CVS with other novel MRI signs of MS to further improve accuracy are ongoing.

1. Thompson AJ, Banwell BL, Barkhof F, et al. Diagnosis of multiple sclerosis: 2017 revisions of the McDonald criteria. Lancet Neurol. 2018;17(2):162-173.

2. Solomon AJ, Bourdette DN, Cross AH, et al. The contemporary spectrum of multiple sclerosis misdiagnosis: a multicenter study. Neurology. 2016;87(13):1393-1399.

3. Kaisey M, Solomon AJ, Luu M, Giesser BS, Sicotte NL. Incidence of multiple sclerosis misdiagnosis in referrals to two academic centers. Mult Scler Relat Disord. 2019;30:51-56.

4. Wallin MT, Culpepper WJ, Campbell JD, et al. The prevalence of MS in the United States: a population-based estimate using health claims data. Neurology. 2019;92(10):e1029-e1040. Published correction appears in Neurology. 2019;93(15):688.

5. Cruveilhier J. Anatomie Pathologique du Corps Humain. JB Bailliere; 1829.

6. Ge Y, Zohrabian VM, Grossman RI. Seven-Tesla magnetic resonance imaging: new vision of microvascular abnormalities in multiple sclerosis. Arch Neurol. 2008;65(6):812-816.

7. Sati P, Oh J, Constable RT, et al. The central vein sign and its clinical evaluation for the diagnosis of multiple sclerosis: a consensus statement from the North American Imaging in Multiple Sclerosis Cooperative. Nat Rev Neurol. 2016;12(12):714-722.

8. Sinnecker T, Clarke MA, Meier D, et al. Evaluation of the central vein sign as a diagnostic imaging biomarker in multiple sclerosis. JAMA Neurol. 2019;76(12):1446-1456.

9. Maggi P, Absinta M, Sati P, et al. The “central vein sign” in patients with diagnostic “red flags” for multiple sclerosis: a prospective multicenter 3T study. Mult Scler. 2019;1352458519876031. Published online September 19, 2019.

10. Solomon AJ, Schindler MK, Howard DB, et al. “Central vessel sign” on 3T FLAIR* MRI for the differentiation of multiple sclerosis from migraine. Ann Clin Transl Neurol. 2016;3(2):82-87.

11. Suh CH, Kim SJ, Jung SC, Choi CG, Kim HS. The “central vein sign” on T2*-weighted images as a diagnostic tool in multiple sclerosis: a systematic review and meta-analysis using individual patient data. Sci Rep. 2019;9(1):18188.

12. Maggi P, Fartaria MJ, Jorge J, et al. CVSnet: A machine learning approach for automated central vein sign assessment in multiple sclerosis. NMR Biomed. 2020;e4283.

13. Absinta M, Sati P, Fechner A, Schindler MK, Nair G, Reich DS. Identification of chronic active multiple sclerosis lesions on 3T MRI. AJNR Am J Neuroradiol. 2018;39(7):1233-1238.

14. Suthiphosuwan S, Sati P, Absinta M, et al. Paramagnetic rim sign in radiologically isolated syndrome. JAMA Neurol. 2020. Published online March 9, 2020. doi:10.1001/jamaneurol.2020.0124