Multiple Sclerosis > Difficult Diagnoses
Fragile X Ataxia Syndrome Misdiagnosed As Multiple Sclerosis
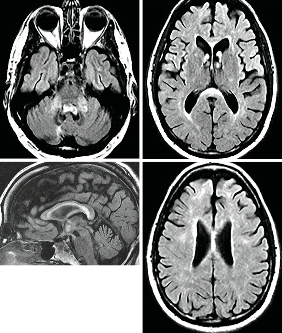
Symmetrical bilateral lesions in middle cerebellar peduncles suggest fragile X ataxia syndrome.
Copy Link
Fragile X ataxia syndrome (FXTAS) is a genetic disorder caused by a mutation in the fragile X mental retardation 1 (FMRl) gene. Inheritance is X linked, and there is incomplete penetrance. FXTAS is a distinct entity from fragile X syndrome, which is primarily pediatric, whereas FXTAS has onset mostly in late adulthood. The symptoms and MRI findings of FXTAS overlap with many other disorders, making diagnosis challenging. It is important for neurologists to be aware of this condition and its diagnostic criteria.
FXTAS Clinical Presentation
Typical symptoms of FXTAS include ataxia, neuropsychiatric symptoms, and intentional tremor. Neuropathic pain, sometimes associated with neuropathy, is also common and often an early symptom. The pain is frequently debilitating and can be misdiagnosed as fibromyalgia.
Cognitive decline and memory problems are often seen. Depression can be severe. Symptom onset is variable and typically gradual in nature. In a case series, the average age of symptom onset for FXTAS was 60.6 years.1 Other associated findings include parkinsonian features, vertigo, and tinnitus. Prognosis is variable and the median life expectancy after symptom onset in a review was 21 years.1 Higher CGG repeat length (number) correlates with increased ataxia severity.2
FXTAS Pathophysiology
FXTAS is an X-linked disorder with incomplete penetrance and thus, is much more common among genotypically male individuals (XY heterozygotes), among whom 40% to 70% develop symptoms. In contrast, among XX homozygotic carriers of the premutation only 16% to 20% become symptomatic. Approximately 1 in 150 to 300 of XX homozygotes and 1 in 400 to 850 XY heterozygotes are carriers for the mutation.3,4
The FMRl premutation results in a toxic gain-of-function of FMRI messenger RNA (mRNA) in which excess CGG trinucleotide repeats ranging from 55 to 200 cause FXTAS. The exact molecular mechanism for the neurologic pathology is unclear. In contrast, fragile X syndrome (FXS) involves methylation of the FMRl gene with loss of expression of FMRI with a very different phenotype from FXTAS.4
Established diagnostic criteria for FXTAS are summarized in the Table.4 The first and most important criteria is confirmed premutation of the FMRl gene (55-200 CGG repeats). If that is confirmed and there is 1 major neuroradiologic finding and 1 major clinical feature, definite FXTAS is diagnosed. Signal abnormalities with fluid-attenuated inversion recovery sequence (FLAIR) or T2 hyperintensities in the middle cerebellar peduncles (MCPs) on brain MRI should raise suspicion for FXTAS because this is a major radiologic sign. White matter lesions in the splenium of the corpus callosum are often seen as well, which is considered a minor radiologic sign.
Differential Diagnosis and Diagnostic Testing
Misdiagnosis of FXTAS is easy, because it presents with such a wide variety of symptoms. A retrospective chart review describes parkinsonism and idiopathic Parkinson disease as the most common misdiagnoses for FXTAS although a large range was seen that included possible MS and myasthenia gravis.5
In the case of Mr J, presented here, the MCP lesion was likely unilateral on initial imaging and then bilateral on subsequent follow-up imaging. Both MCP and corpus callosum lesions can be seen in both MS and FXTAS.6 The confluent nature of the lesions, in Mr J’s case, along with the symmetry of MCP abnormalities are not typical of MS.
Management
Although there are currently no disease-modifying therapies available for FXTAS, early diagnosis can be helpful because genetic counseling and appropriate symptomatic treatments can be offered and treatments for other conditions that may have significant side effects avoided.
Summary
It is important for neurologists to be aware of FXTAS. It is often misdiagnosed because it can mimic other conditions including MS, Parkinson disease, and small fiber neuropathy. Symmetrical bilateral T2 hyperintensities in the MCPs on brain MRI should raise suspicion for this condition. Genetic testing is becoming increasingly more accessible.
1. Leehey, M. A. et al. Progression of tremor and ataxia in male carriers of the FMRl premutation. Mov Disord. 2007; 22, 203-206.
2. Leehey MA, Berry-Kravis E, Goetz CG, et al. FMR1 CGG repeat length predicts motor dysfunction in premutation carriers. Neurology. 2008;70(16 Pt 2):1397-1402.
3. Jacquemont S, Hagerman RJ, Leehey M, et al. Fragile X premutation tremor/ataxia syndrome: molecular, clinical, and neuroimaging correlates. Am J Hum Genet. 2003;72(4):869-878.
4. Hagerman RJ, Hagerman P. Fragile X-associated tremor/ataxia syndrome - features, mechanisms and management. Nat Rev Neurol. 2016;12(7):403-412.
5. Hall DA, Berry-Kravis E, Jacquemont S, et al. Initial diagnoses given to persons with the fragile X associated tremor/ataxia syndrome (FXTAS) [published correction appears in Neurology. 2005;65(5):784]. Neurology. 2005;65(2):299-301. doi:10.1212/01.wnl.0000168900.86323.9c7.
6. Preziosa P, Rocca MA, Mesaros S, et al. Relationship between damage to the cerebellar peduncles and clinical disability in multiple sclerosis. Radiology. 2014;271(3):822-830.