MENU

Multiple Sclerosis > MRI Atlas

Lateral Ventricle-abutting Lesions

1/2

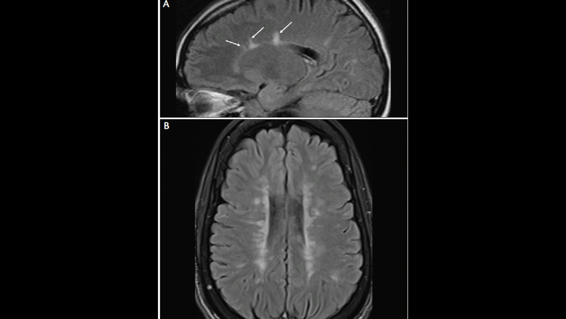
Typical lesions of multiple sclerosis are found in the periventricular.

2/2

A. Lesions adjacent to lateral ventricle (Dawson’s fingers). MRI from a patient with early MS shows a few Dawson’s fingers on sagittal fluid-attenuated inversion recovery (FLAIR) image.

B. Lesions adjacent to lateral ventricle (Dawson’s fingers). MRI from a patient with more advanced MS shows numerous Dawson’s fingers on axial FLAIR image.

More in MRI Atlas

cortical juxtacortical lesions cover
Previous:

Cortical/juxtacortical Lesions

View Now
mlf lesions cover
Next:

Medial Longitudinal Fasciculus Lesions

View Now
View All