MENU

Multiple Sclerosis > MRI Atlas

Other Brainstem Lesions

1/2

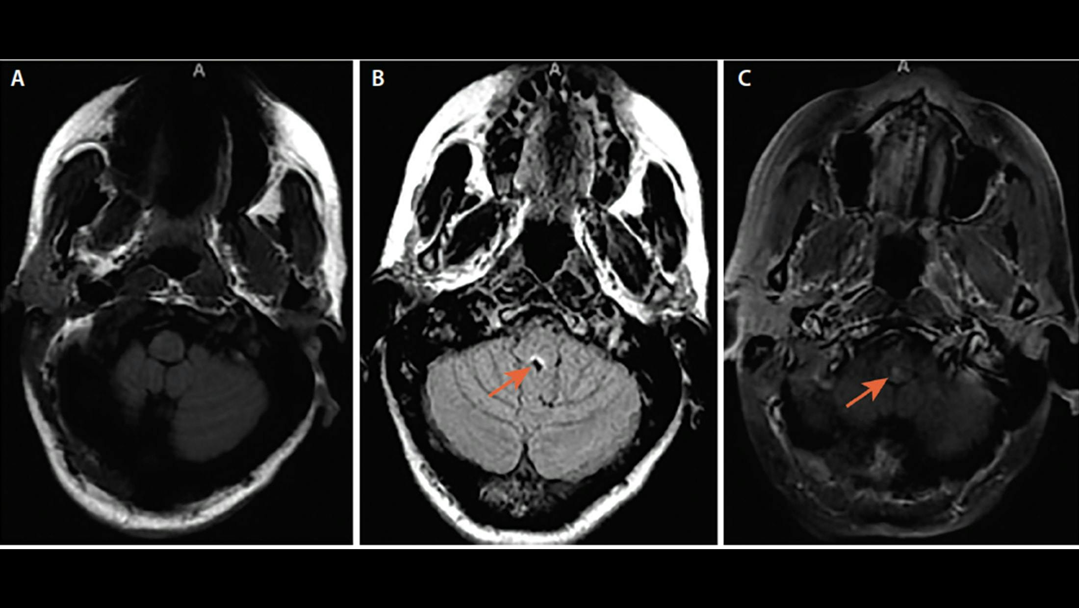
A. Area Postrema Syndrome From Dorsal Medullary Lesion. Axial brain MRI (A) show T2 hyperintense lesion in the dorsal medulla.

B. Area Postrema Syndrome From Dorsal Medullary Lesion. Axial fluid-attenuated inversion recovery (FLAIR) MRI show T2 hyperintense lesion in the dorsal medulla.

C. Area Postrema Syndrome From Dorsal Medullary Lesion. Axial T1-post gadolinium MRI shows enhancement of the dorsal medullary lesion.

2/2

Coronal T1 postgadolinium MRI in a patient with AQP4+ NMOSD demonstrating an enhancing linear brainstem lesion in the right cerebral peduncle.

More in MRI Atlas

optic nerve lesions cover
Previous:

Optic Nerve Lesions

View Now
other non ms demyelinating cover
Next:

Other Non-MS Demyelinating Lesions

View Now
View All